Закажете го вашиот термин денес и направете го првиот чекор кон здрава и убава насмевка.
работно време
- Понеделник, Вторник, Среда и Четврток: 8:00 - 20:00
- Петок: 8:00 - 16:00

Превентивни залевки
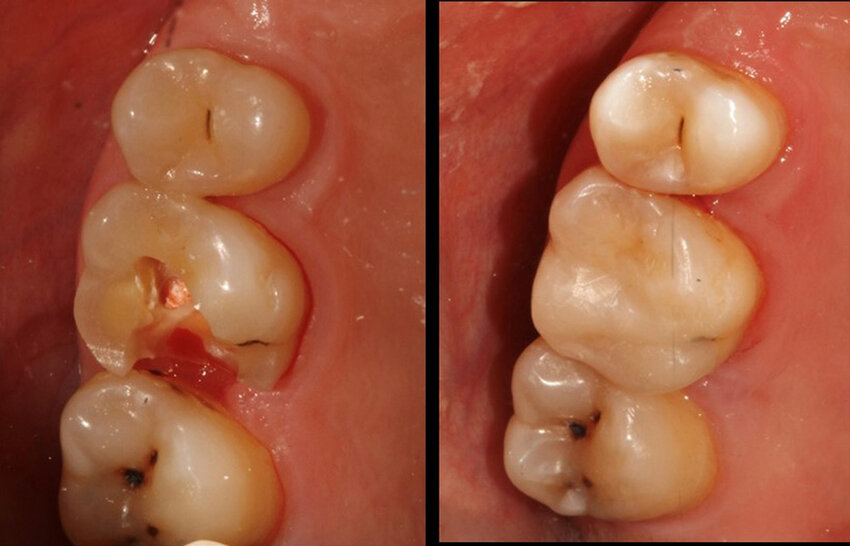
Површините за џвакање на задните заби имаат природни јами и жлебови (пукнатини) кои може да биде тешко да се исчистат темелно со редовно четкање. Овие области можат да заробат храна и бактерии, зголемувајќи го ризикот од расипување на забите. Забните заливки дејствуваат како бариера, запечатувајќи ги јамите и жлебовите и спречувајќи бактерии и остатоци од храна да се акумулираат во овие ранливи области. Нанокомпозитни и керамички смоли и полнења ни овозможуват висока естетика биокомпатибилност кои ги изработуваме со директни и индиректни методи.
Закажете го вашиот термин денес и направете го првиот чекор кон здрава и убава насмевка.