Закажете го вашиот термин денес и направете го првиот чекор кон здрава и убава насмевка.
работно време
- Понеделник, Вторник, Среда и Четврток: 8:00 - 20:00
- Петок: 8:00 - 16:00

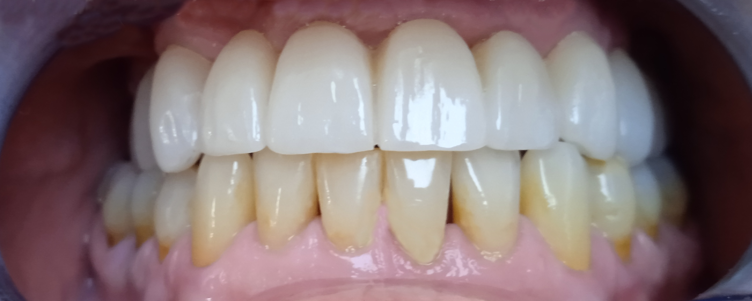
Фиксна протетика вклучува употреба на трајни и фиксни стоматолошки реставрации кои се цементирани или врзани на постоечки заби или забни импланти.
Закажете го вашиот термин денес и направете го првиот чекор кон здрава и убава насмевка.