Закажете го вашиот термин денес и направете го првиот чекор кон здрава и убава насмевка.
работно време
- Понеделник, Вторник, Среда и Четврток: 8:00 - 20:00
- Петок: 8:00 - 16:00

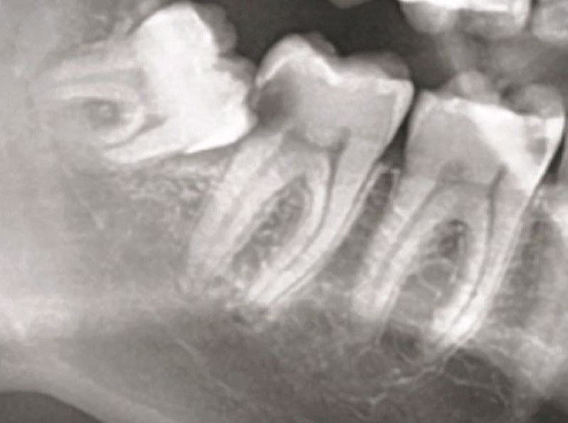
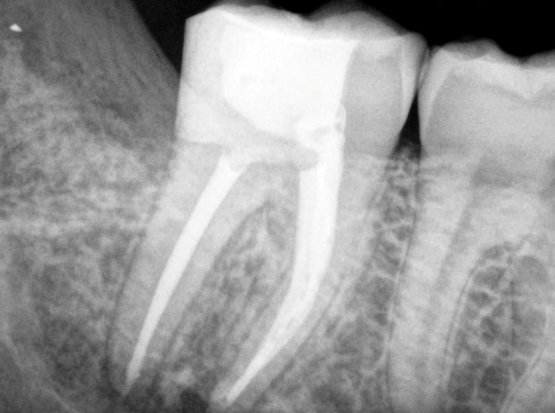
Ендодонцијата е гранка на стоматологијата која се занимава со третман и превенција на болести и состојби што ја зафаќаат забната пулпа и околните ткива. Забната пулпа е меко ткиво во внатрешноста на забот, составено од нерви, крвни садови и сврзно ткиво. Ендодонтскиот третман најчесто подразбира терапија на коренскиот канал, чија главна цел е да се спасат забите кои се сериозно оштетени или инфицирани.
Терапијата на коренскиот канал е најчестата ендодонтска процедура. Процесот вклучува:
Во одредени случаи, кога конвенционалниот третман на коренскиот канал не е доволен, може да се изведе ендодонтска хирургија. Најчеста процедура е апикотомија — хирургија на врвот на коренот, при што се отстранува врвот на коренот заедно со инфицираното ткиво. Овој процес помага да се елиминира изворот на инфекцијата и да се зачува забот.
Закажете го вашиот термин денес и направете го првиот чекор кон здрава и убава насмевка.