Закажете го вашиот термин денес и направете го првиот чекор кон здрава и убава насмевка.
работно време
- Понеделник, Вторник, Среда и Четврток: 8:00 - 20:00
- Петок: 8:00 - 16:00

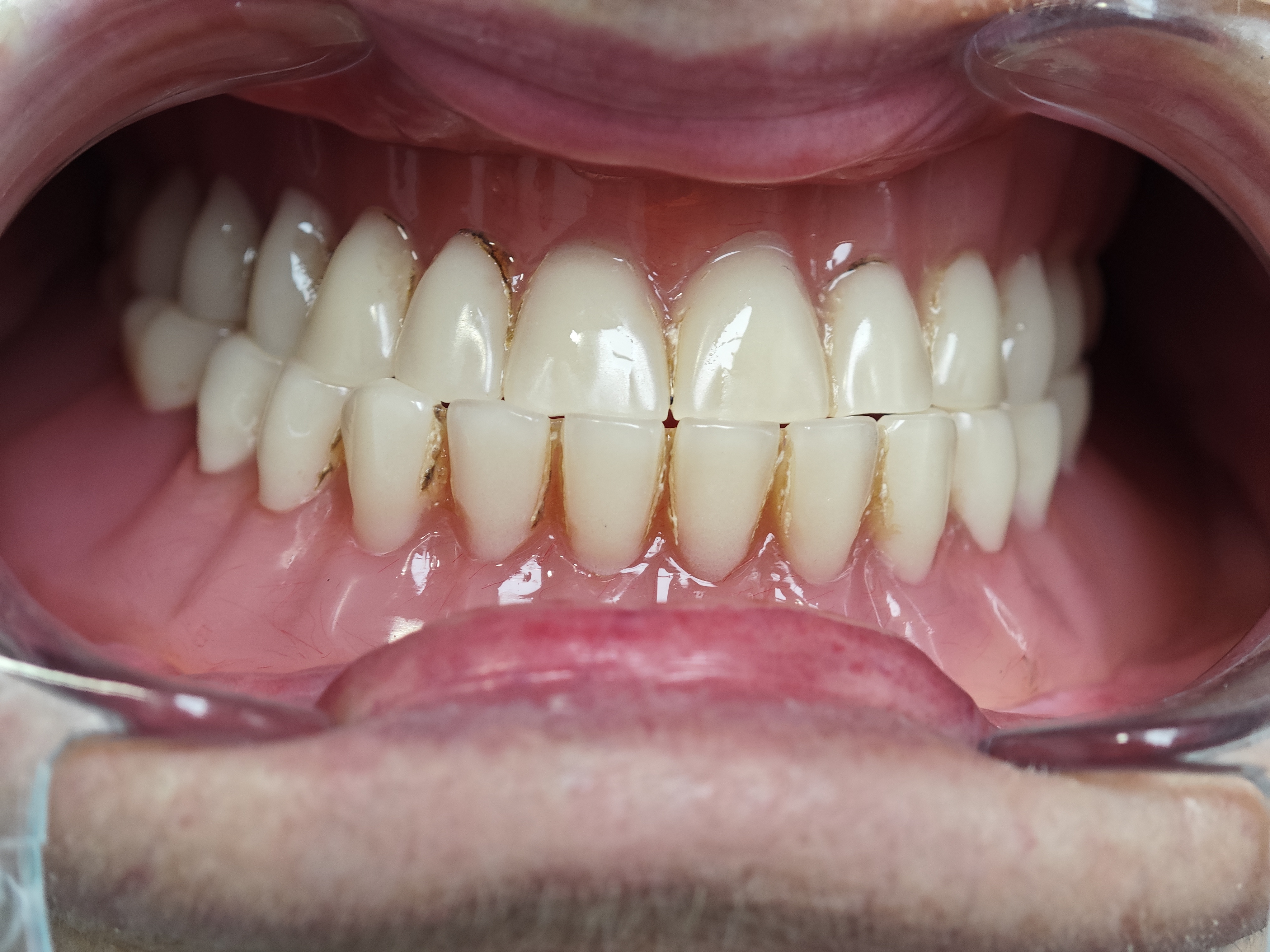
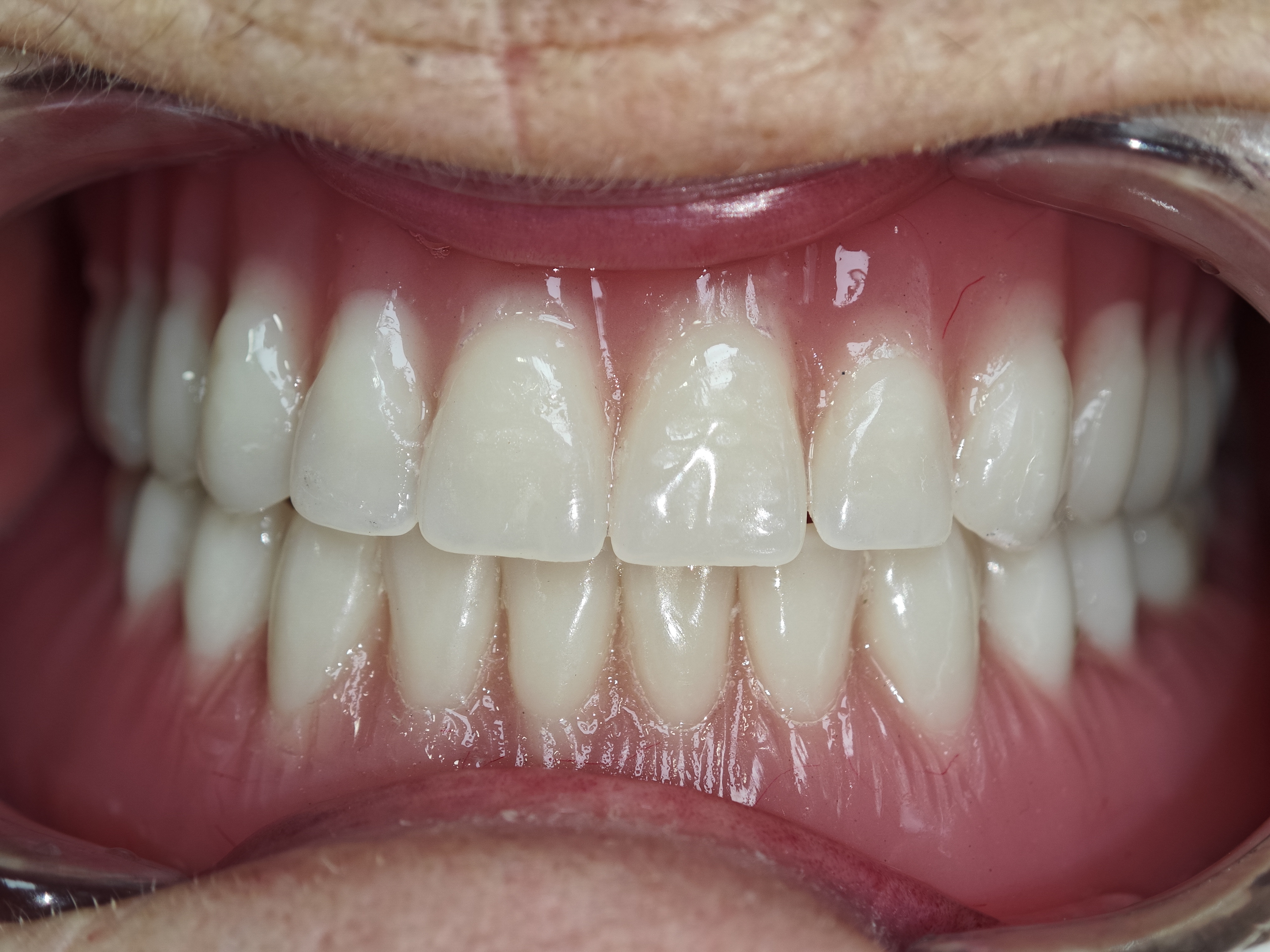
Мобилни протези се дизајнирани да ги заменат исчезнатите заби и орални ткива и може лесно да се отстранат за чистење. Вообичаено протезите вклучуваат тотални протези и парцијални протези (замена на повеќе заби кои недостасуваат кога ќе останат некои природни заби).
Закажете го вашиот термин денес и направете го првиот чекор кон здрава и убава насмевка.